HỒNG BAN NỔI CAO DAI DẰNG (ERYTHEMA ELEVATUM DIUTINUM)
30/10/2024,
10:19
1. Đại cương
Hồng ban nổi cao dai dẳng (EED) là một bệnh viêm da mãn tính hiếm gặp, đặc trưng bởi các sẩn, mảng và nốt màu đỏ tím đến đỏ nâu hay gặp ở mặt duỗi các chi. Tình trạng này có bản chất lành tính nhưng có thể liên quan đến nhiễm trùng, bất thường về huyết học, bệnh tự miễn hoặc các bệnh lý khác. Bệnh thường tự khỏi sau 5 đến 10 năm.
EED rất hiếm, chỉ có mô tả về vài trăm trường hợp trong các tài liệu. Bệnh có thể xuất hiện ở mọi lứa tuổi nhưng phổ biến hơn từ 40 đến 60 tuổi. Khởi phát sớm hơn thường xảy ra trường hợp nhiễm HIV. Tỷ lệ nam/nữ gần bằng nhau và không có khác biệt về chủng tộc.
2. Nguyên nhân và sinh lý bệnh
Nguyên nhân của EED vẫn chưa được hiểu rõ, nhưng người ta cho rằng nó là thứ phát sau sự lắng đọng phức hợp miễn dịch trong các mạch máu ở da.
EED đã được mô tả có liên quan đến một số bệnh toàn thân. Nó thường liên quan với các rối loạn về huyết học, chẳng hạn như bệnh gamma đơn dòng IgA, loạn sản tủy, rối loạn tăng sinh tủy, bệnh paraprotein máu. Nhiễm liên cầu khuẩn nhóm B, HIV, giang mai và virus viêm gan cũng như các bệnh tự miễn như bệnh celiac, bệnh crohn, lupus ban đỏ hệ thống và viêm khớp dạng thấp.
3. Các đặc điểm lâm sàng
Các tổn thương EED biểu hiện dưới dạng các sẩn, mảng hoặc nốt màu đỏ nâu, vàng hoặc tím. Chúng thường phân bố đối xứng và có xu hướng ở các vị trí đầu cực và quanh khớp, đặc biệt là bề mặt duỗi của khuỷu tay, đầu gối, mắt cá chân, bàn tay và ngón tay. Các vị trí liên quan khác bao gồm mặt, vùng sau tai, nách, mông và bộ phận sinh dục. Thân mình thường không bị ảnh hưởng. Các tổn thương thường có cảm giác chắc và di động, ngoại trừ ở lòng bàn tay và lòng bàn chân.
Ban đầu, các tổn thương có màu đỏ và mềm nhưng theo thời gian chuyển sang màu đỏ nâu hoặc tím và cứng khi sờ nắn do xơ hóa. Trong quá trình bệnh, các tổn thương có thể thay đổi màu sắc cũng như tăng kích thước và số lượng.
Thông thường, các tổn thương không có triệu chứng, nhưng đã có báo cáo về những bệnh nhân bị ngứa và cảm giác nóng rát hoặc ngứa, đặc biệt là trong giai đoạn đầu của bệnh. Một số biểu hiện khác bao gồm các bất thường về mắt như viêm củng mạc, viêm màng bồ đào, bong giác mạc tự miễn và viêm giác mạc ngoại biên.

Hình 1,2. Hình ảnh tổn thương lâm sàng của hồng ban nổi cao dai dẳng (Nguồn: Internet)
4. Cận lâm sàng
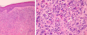
Sinh thiết da là xét nghiệm hữu ích nhất để chẩn đoán EED. Các đặc điểm mô bệnh học của EED thay đổi theo thời gian. EED giai đoạn đầu biểu hiện viêm mạch bạch cầu. Khi các tổn thương trưởng thành, tế bào mô histiocyte và mô hạt trở nên phổ biến hơn. EED giai đoạn sau có thể biểu hiện xơ hóa với các tế bào hình thoi và hoại tử fibrin hoặc xơ hóa thành mao mạch. Trong một số trường hợp, viêm mạch khó đánh giá.
Tốc độ máu lắng ở những bệnh nhân mắc EED thường tăng cao. Kháng thể kháng bào tương bạch cầu trung tính loại IgA có thể hữu ích như một dấu hiệu của bệnh và điện di miễn dịch cũng có thể được sử dụng để xác định các bệnh lý gamma có thể xảy ra.

Hình 3. Hình ảnh mô bệnh học của hồng ban nổi cao dai dẳng (Nguồn: Internet)
5. Chẩn đoán phân biệt
- Hội chứng SWEET
- U xơ da
- Hồng ban đa dạng
- U hạt hình nhẫn
- U hạt ở mặt
- Viêm da mủ hoại thư
6. Phương pháp điều trị
Việc điều trị EED rất khó khăn vì rối loạn này diễn biến mãn tính và tái phát.
Dapsone là một điều trị hiệu quả nhất, nhưng tái phát thường xảy ra khi ngừng thuốc. Các liệu pháp khác bao gồm NSAID, niacinamide, tetracycline, chloroquine, colchicine, trao đổi huyết tương, corticosteroid tại chỗ và tiêm nội tổn thương.
Phẫu thuật cắt bỏ tổn thương có thể có lợi cho các nốt xơ hóa. Bất kể phương pháp điều trị nào, tỷ lệ tái phát của EED đều cao nếu các yếu tố kích thích bệnh không được kiểm soát.
7. Tiên lượng
Bệnh hồng ban nổi cao dai dẳng là bệnh mãn tính và có quá trình tái phát và thuyên giảm xen kẽ.
TÀI LIỆU THAM KHẢO
1. Kalekhan FM, Hegde SP, Manjunath MS, Iqbal AAM. Erythema Elevatum Diutinum: Revisiting A Rare Entity in Pediatric Age Group. Indian J Dermatol 2021; 66:419.
2. Kimura H, Hayashi R, Tsuchida Y, et al. The role of IL-8 in skin lesions of a patient with erythema elevatum diutinum. J Eur Acad Dermatol Venereol 2021; 35:e396.
3. ALHetheli GI, Aljarbou OZ, ALHumidi A, AlJasser MI. Atypical Palmar Involvement with Erythema Elevatum Diutinum as a Sole Manifestation: A Report of Two Cases. Clin Cosmet Investig Dermatol 2020; 13:529.
4. Yaycıoğlu A, Vural S, Anadolu R. A rare presentation of erythema elevatum diutinum with annular lesions on the trunk. Dermatol Ther 2021; 34:e14566.
Nguồn: https://dalieu.vn/
