Phẫu thuật thành công cho sản phụ mắc bệnh động mạch chủ nguy kịch
15/10/2024,
10:30
Vừa qua, Bệnh viện Đại học Y Hà Nội đã thực hiện thành công ca phẫu thuật sản phụ mắc bệnh động mạch chủ phức tạp và nguy kịch ngay sau sinh.
Người bệnh Trần.T.C, 33 tuổi khởi phát bệnh động mạch chủ phức tạp ngay sau đẻ chỉ 1 ngày với triệu chứng đau ngực trái dữ dội lan sau lưng và lên cổ. Khi vào viện được điều trị tích cực, mức độ đau tuy có giảm nhưng vẫn còn đau nhiều kèm khó thở nhẹ. Hình ảnh siêu âm tim và chụp cắt lớp vi tính cho lóc động mạch chủ loại A cấp, dịch máu khoang màng tim, phồng gốc, hở van động mạch chủ, tắc động mạch cảnh trong trái, chênh lệch nhiều huyết áp tứ chi. Tử cung kích thước lớn, tăng sinh mạch máu nhiều (sau đẻ ngày thứ hai).


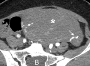
Hình ảnh trước mổ: A – Phồng gốc động mạch chủ (1), tắc hoàn toàn động mạch cảnh trái (2), đường lóc dọc theo động mạch chủ xuống (3); B – Tử cung kích thước lớn (hoa thị) với mạch máu tăng sinh (mũi tên).
Qua thăm khám, các bác sĩ Trung tâm Tim mạch, Bệnh viện Đại học Y Hà Nội xác định đây là tình huống lâm sàng rất khó khăn và nguy kịch do khoang màng tim đã có dịch máu, nếu không phẫu thuật kịp thời người bệnh có thể bị tử vong do tim bị chèn ép. Ngoài ra tình trạng hở van động mạch chủ có thể nặng lên gây phù phổi cấp; tắc động mạch cảnh cũng có thể tiến triển thành nhồi máu não cấp.
Đánh giá được tính cấp thiết và phức tạp của cuộc phẫu thuật, dưới sự chủ trì của Ban Giám đốc Bệnh viện, các chuyên khoa liên quan trực tiếp đã hội chẩn và đưa ra phương án phẫu thuật tối ưu nhất.
Ngay sau hội chẩn, người bệnh được chuyển đến phòng can thiệp để thực hiện nút mạch máu tử cung chọn lọc để giảm thiểu nguy cơ chảy máu tử cung trong và sau mổ. Từ phòng can thiệp nút mạch, người bệnh được chuyển thẳng vào phòng mổ tim.
Quá trình thực hiện phẫu thuật bắt đầu bằng tái thông động mạch cảnh trái để đảm bảo nuôi não tối ưu. Sau đó là thực hiện đặt stent graft trong quá trình hạ thân nhiệt sâu, ngừng tuần hoàn nửa dưới cơ thể và tưới máu não chọn lọc. Vùng gốc động mạch chủ phồng lớn đòi hỏi phải tạo hình lại với sửa chữa hoặc thay thế van tim, bên cạnh phục hồi lại lưu thông các động mạch vành. Các bác sĩ đã quyết định sửa chữa gốc động mạch chủ với phương pháp bảo tồn van để tránh cho bệnh nhân phải sử dụng thuốc chống đông liều cao cả đời nếu phải thay van nhân tạo. Công đoạn quan trọng cuối cùng là phục hồi các động mạch nuôi não, trong đó có vị trí phục hồi động mạch cảnh trái ở sát vùng góc hàm, ngay tại ngã ba các động mạch cảnh. Sau quãng thời gian dài xuyên đêm, đến thời điểm bắt đầu ngày làm việc mới, trái tim của người bệnh đã hồi phục với sức co bóp tốt, cấu trúc và chức năng van tim tương đối bình thường khi siêu âm tim thực quản ngay trong mổ.
Với sự phối hợp nhịp nhàng giữa các bác sĩ Trung tâm Tim mạch và Gây mê hồi sức, ca phẫu thuật đã diễn thành công. Chỉ sau 3 ngày phẫu thuật, người bệnh đã được rút nội khí quản, hoàn toàn tỉnh táo, chức năng các tạng được duy trì ổn định. Các kết quả chẩn đoán hình ảnh của người bệnh trước khi ra viện cũng cho thấy khối phồng động mạch chủ được xử lý triệt để, động mạch vành bị tắc được tái tạo, van hai lá sau tạo hình và kích thước buồng tim trở lại giống như ở người bình thường.

Hình ảnh sau mổ: Gốc động mạch chủ, động mạch chủ ngực nhân tạo có hình thái bình thường, các động mạch nuôi não được phục hồi, stent graft động mạch chủ xuống thông tốt làm tăng kích thước lòng thật động mạch chủ ngực bụng.
Theo PGS.TS. Vũ Ngọc Tú – Phó Giám đốc Trung tâm Tim mạch, Bệnh viện Đại học Y Hà Nội, phẫu thuật viên chính thực hiện ca mổ chia sẻ: Đây là một trong những trường hợp bệnh động mạch chủ nặng nề, phức tạp và hiếm gặp. Theo y văn, bệnh lóc động mạch chủ có thể xảy ra ở phụ nữ trong và sau sinh, chủ yếu có liên quan đến bệnh lý mô liên kết hoặc có yếu tố di truyền, mà hay gặp nhất là người có kiểu hình Marfan (dáng người cao, gầy, các ngón tay và chân dài kiểu “chân nhện”. Người bệnh này không có kiểu hình Marfan, nhưng hình thái giãn lớn của gốc động mạch chủ và tiền sử gia đình có người bị bệnh tương tự gợi ý tới bệnh mô liên kết. Người bệnh cũng đã được các bác sĩ chuyên khoa di truyền học tư vấn để có kế hoạch chẩn đoán xác định, sàng lọc và kiểm tra định kì cho bệnh nhân và gia đình.
Các bác sĩ khuyến cáo: Người bệnh đã được chẩn đoán, phẫu thuật bệnh động mạch chủ có yếu tố di truyền cần được kiểm tra, khám định kì cho người thân, và hết sức lưu ý cho những trường hợp nữ có bệnh nhưng chưa được phẫu thuật trong giai đoạn thai sản.
(Nguồn: http://benhviendaihocyhanoi.com)
