Vai trò chẩn đoán hình ảnh trong hẹp khúc nối bể thận – niệu quản

02/12/2024, 09:29

Tắc nghẽn khúc nối bể thận – niệu quản được định nghĩa là tắc nghẽn nước tiểu từ thận xuống niệu quản đoạn thận. Là nguyên nhân phổ biến nhất đối với bệnh lý tắc nghẽn ở trẻ em. Nhưng người lớn cũng gặp trường hợp hẹp khúc nối này do phẫu thuật hoặc bệnh lý làm cho niệu quản đoạn trên viêm xơ hẹp.

   

Hẹp khúc nối là nguyên nhân hàng đầu thận ứ nước trẻ sơ sinh và tiền sản, trong 1/1500 trẻ sinh ra. Trước khi có siêu âm tiền sản bệnh nhân thường có triệu chứng đau, tiểu máu, nhiễm trùng, khối to sờ được. Khi có siêu âm thì chẩn đoán sớm hơn. Khoảng 50% bệnh nhân chẩn đoán tiền sản có thận ứ nước là hẹp khúc nối.

 

Ở nước ta bệnh lý này đứng hàng thứ hai trong số các dị tật tiết niệu – sinh dục chiếm tỉ lệ 11% nhưng là dị tật đứng hành đầu của thận – tiết niệu, chiếm 21% và trung bình hằng năm có khoảng 30-40 trẻ được điều trị phẫu thuật tạo hình. Bệnh gặp ở trẻ trai nhiều hơn trẻ gái, bên trái hay gặp hơn bên phải, bệnh lý hẹp khúc nối hai bên gặp 5% trường hợp.

 

Nội soi sau phúc mạc tạo hình bể thận – niệu quản là một lựa chọn tốt điều trị khi bệnh nhân có triệu chứng, sỏi , nhiễm trùng hoặc khi chức năng thận giảm.

 

Chụp hệ niệu cản quang đường tĩnh mạch (IVP/UIV) là kỹ thuật khảo sát hệ niệu có thuốc tương phản đầu tiên. Kỹ thuật này hiện nay hầu như không còn được sử dụng.  Trên UIV, nếu thận ứ nước còn chức năng bài tiết tốt mới thấy được hình ảnh đài bể thận giãn. Các trường hợp thận còn bài tiết nhưng do ứ nước quá lớn, lượng thuốc tương phản bài tiết vào bể thận không đủ làm tang đậm độ trên Xquang cũng không thấy trên UIV.

 

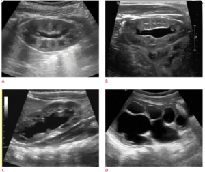
Siêu âm là kỹ thuật chẩn đoán hình ảnh quan trọng trong chẩn đoán và theo dõi. Siêu âm xác định có giãn đài bể thận, mức độ giãn, niệu quản không giãn. Trên siêu âm cần thiết đo các kích thước của thận, đường kính trước sau bể thận và bề dày chủ mô thận. Các thông số này rất quan trọng trong quá trình theo dõi trước và sau điều trị. Siêu âm có thể phát hiện hội chứng hẹp khúc nối do cầu mạch máu. 

 

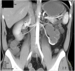
Chụp CT và MRI hệ niệu là phương pháp được lựa chọn, tùy trường hợp và trang thiết bị kỹ thuật, tiếp theo sau siêu âm trong hội chứng khúc nối bể thận – niệu quản cũng như trong bệnh lý tắc nghẽn hệ niệu. Chụp uroscan giúp khảo sát tốt hình thái hệ thận – niệu và đánh giá định tính chức năng thận . Chụp uroMRI ngoài khảo sát hình thái còn đánh giá định lượng chức năng bài tiết của thận.

 

Theo Bệnh viện Sản Nhi Nghệ An